PLANEJAMENTO DE CASOS COMPLEXOS E

AUMENTO DE DIMENSÃO VERTICAL DE OCLUSÃO

PLANEJAMENTO DE CASOS COMPLEXOS E

AUMENTO DE DIMENSÃO VERTICAL DE OCLUSÃO

PLANEJAMENTO DE CASOS COMPLEXOS E

AUMENTO DE DIMENSÃO VERTICAL DE OCLUSÃO

Assista essa aula agora

Assista essa aula agora

Assista essa aula agora

O CURSO QUE VOCÊ PROCURAVA

AGORA POR APENAS R$ 997,00

O CURSO QUE VOCÊ PROCURAVA

AGORA POR APENAS R$ 997,00

O CURSO QUE VOCÊ PROCURAVA

AGORA POR APENAS R$ 997,00

AULAS 100% LIBERADAS

AULAS 100% LIBERADAS

AULAS 100% LIBERADAS

Acesse agora e tenha acesso as aulas sobre a fisiologia da desoclusão, montagem do articulador semi-ajustável, ajuste oclusal, enceramento funcional, planejamento digital, mentorias e muito mais, tudo preparado para que você consiga de uma vez por todas fechar os casos desafiadores.

Acesse agora e tenha acesso as aulas sobre a fisiologia da desoclusão, montagem do articulador semi-ajustável, ajuste oclusal, enceramento funcional, planejamento digital, mentorias e muito mais, tudo preparado para que você consiga de uma vez por todas fechar os casos desafiadores.

Acesse agora e tenha acesso as aulas sobre a fisiologia da desoclusão, montagem do articulador semi-ajustável, ajuste oclusal, enceramento funcional, planejamento digital, mentorias e muito mais, tudo preparado para que você consiga de uma vez por todas fechar os casos desafiadores.

MENTORIAS GRAVADAS

MENTORIAS GRAVADAS

MENTORIAS GRAVADAS

O suporte do curso é algo que levamos muita a sério, ao entrar nessa turma você receberá acesso a uma aula fechada no ZOOM diretamente com o Prof. Marcos Laboissiere para tirar suas dúvidas clínicas, além de ter poder assistir as gravadas para aprender com as dúvidas dos outros.

O suporte do curso é algo que levamos muita a sério, ao entrar nessa turma você receberá acesso a uma aula fechada no ZOOM diretamente com o Prof. Marcos Laboissiere para tirar suas dúvidas clínicas, além de ter poder assistir as gravadas para aprender com as dúvidas dos outros.

O suporte do curso é algo que levamos muita a sério, ao entrar nessa turma você receberá acesso a uma aula fechada no ZOOM diretamente com o Prof. Marcos Laboissiere para tirar suas dúvidas clínicas, além de ter poder assistir as gravadas para aprender com as dúvidas dos outros.

VÍDEO AULAS CURTAS E ORGANIZADASAULAS CURTAS

VÍDEO AULAS CURTAS E ORGANIZADASAULAS CURTAS

VÍDEO AULAS CURTAS E ORGANIZADASAULAS CURTAS

Dessa forma você consegue encontrar o assunto que deseja saber de forma rápida, podendo assistir entre um paciente e outro. Todo o curso está 100% disponível para você maratonar, podendo ver e rever quantas vezes precisar.

Dessa forma você consegue encontrar o assunto que deseja saber de forma rápida, podendo assistir entre um paciente e outro. Todo o curso está 100% disponível para você maratonar, podendo ver e rever quantas vezes precisar.

Dessa forma você consegue encontrar o assunto que deseja saber de forma rápida, podendo assistir entre um paciente e outro. Todo o curso está 100% disponível para você maratonar, podendo ver e rever quantas vezes precisar.

COMUNIDADE.

COMUNIDADE.

COMUNIDADE.

Os alunos tem acesso a uma rede social exclusiva para os dentistas poderem compartilhar suas dúvidas, algo inédito e exclusivo dentro do próprio app do curso, a comunidade funciona muito melhor que grupo do whatsapp.

Os alunos tem acesso a uma rede social exclusiva para os dentistas poderem compartilhar suas dúvidas, algo inédito e exclusivo dentro do próprio app do curso, a comunidade funciona muito melhor que grupo do whatsapp.

Os alunos tem acesso a uma rede social exclusiva para os dentistas poderem compartilhar suas dúvidas, algo inédito e exclusivo dentro do próprio app do curso, a comunidade funciona muito melhor que grupo do whatsapp.

SUPORTE

SUPORTE

SUPORTE

O nosso objetivo é que você realmente possa atingir os nossos objeitvos e para isso não medimos esforços, você pode tirar dúvidas por email, whatsapp, telegram, na comunidade exclusiva ou dentro da plataforma do curso.

O nosso objetivo é que você realmente possa atingir os nossos objeitvos e para isso não medimos esforços, você pode tirar dúvidas por email, whatsapp, telegram, na comunidade exclusiva ou dentro da plataforma do curso.

O nosso objetivo é que você realmente possa atingir os nossos objeitvos e para isso não medimos esforços, você pode tirar dúvidas por email, whatsapp, telegram, na comunidade exclusiva ou dentro da plataforma do curso.

APLICAÇÃO IMEDIATA

APLICAÇÃO IMEDIATA

APLICAÇÃO IMEDIATA

O método DVOpro foi idealizado para que você assista e possa praticar de forma imediata, já alterando a sua forma de encarar seus pacientes com problemas oclusais, basta assistir e aplicar. Já no primeiro módulo ensino como ganhar o valor investido no curso oferecendo o EDPO, exame de diagnóstico de problemas oclusais.

O método DVOpro foi idealizado para que você assista e possa praticar de forma imediata, já alterando a sua forma de encarar seus pacientes com problemas oclusais, basta assistir e aplicar. Já no primeiro módulo ensino como ganhar o valor investido no curso oferecendo o EDPO, exame de diagnóstico de problemas oclusais.

O método DVOpro foi idealizado para que você assista e possa praticar de forma imediata, já alterando a sua forma de encarar seus pacientes com problemas oclusais, basta assistir e aplicar. Já no primeiro módulo ensino como ganhar o valor investido no curso oferecendo o EDPO, exame de diagnóstico de problemas oclusais.

ASSISTIR OFFLINE

ASSISTIR OFFLINE

ASSISTIR OFFLINE

A plataforma do curso permite você baixar as aulas do seu interesse e assistir de forma offline, assim você pode aproveitar para assistir as aulas sem precisar de internet.

A plataforma do curso permite você baixar as aulas do seu interesse e assistir de forma offline, assim você pode aproveitar para assistir as aulas sem precisar de internet.

A plataforma do curso permite você baixar as aulas do seu interesse e assistir de forma offline, assim você pode aproveitar para assistir as aulas sem precisar de internet.

FLUXO DIGITAL

FLUXO DIGITAL

FLUXO DIGITAL

Temos um módulo destinado para o tema do fluxo digital,você vai aprender a trabalhar mesmo não tendo equipamentos ou não tendo domínio no assunto, e se você já trabalha, você vai se surpreender com nosso método simples e prático para trabalhar com o digital.

Temos um módulo destinado para o tema do fluxo digital,você vai aprender a trabalhar mesmo não tendo equipamentos ou não tendo domínio no assunto, e se você já trabalha, você vai se surpreender com nosso método simples e prático para trabalhar com o digital.

Temos um módulo destinado para o tema do fluxo digital,você vai aprender a trabalhar mesmo não tendo equipamentos ou não tendo domínio no assunto, e se você já trabalha, você vai se surpreender com nosso método simples e prático para trabalhar com o digital.

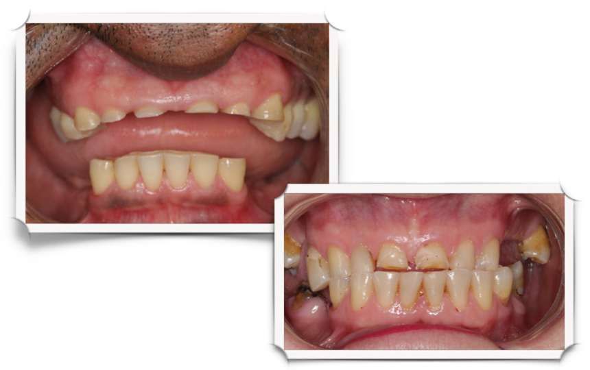
Você não precisa ser SUPER reabilitador para planejar casos complexos com segurança.

Você não precisa ser SUPER reabilitador para planejar casos complexos com segurança.

Você não precisa ser SUPER reabilitador para planejar casos complexos com segurança.

Se o seu sonho é conseguir encarar casos complexos de perda de dimensão vertical com segurança para definir a nova dimensão vertical dos casos com desgastes, bruxismo, perdas dentárias ou envelhecimento precoce dos dentes, mas você não quer ficar dependente do laboratório ou tem medo de aumentar de forma aleatória, quer parar encaminhar para outros profissionais trabalhos que você sendo especialista poderia planejar ou ficar vendo os seus trabalhos quebrando sem saber onde você está errado. Não se preocupe.


É COMPLETAMENTE POSSÍVEL você conseguir planejar seus casos de aumento de dimensão vertical independente do material (resina ou cerâmica), do seu tempo de formado ou até mesmo da usa especialidade.


Isso pode parecer contraditório no mundo onde pessoas se preocupam cada vez mais com ficar fazendo somente o básico mesmo sendo especialista, mas acredite é possível!

Se o seu sonho é conseguir encarar casos complexos de perda de dimensão vertical com segurança para definir a nova dimensão vertical dos casos com desgastes, bruxismo, perdas dentárias ou envelhecimento precoce dos dentes, mas você não quer ficar dependente do laboratório ou tem medo de aumentar de forma aleatória, quer parar encaminhar para outros profissionais trabalhos que você sendo especialista poderia planejar ou ficar vendo os seus trabalhos quebrando sem saber onde você está errado. Não se preocupe.


É COMPLETAMENTE POSSÍVEL você conseguir planejar seus casos de aumento de dimensão vertical independente do material (resina ou cerâmica), do seu tempo de formado ou até mesmo da usa especialidade.


Isso pode parecer contraditório no mundo onde pessoas se preocupam cada vez mais com ficar fazendo somente o básico mesmo sendo especialista, mas acredite é possível!

Se o seu sonho é conseguir encarar casos complexos de perda de dimensão vertical com segurança para definir a nova dimensão vertical dos casos com desgastes, bruxismo, perdas dentárias ou envelhecimento precoce dos dentes, mas você não quer ficar dependente do laboratório ou tem medo de aumentar de forma aleatória, quer parar encaminhar para outros profissionais trabalhos que você sendo especialista poderia planejar ou ficar vendo os seus trabalhos quebrando sem saber onde você está errado. Não se preocupe.


É COMPLETAMENTE POSSÍVEL você conseguir planejar seus casos de aumento de dimensão vertical independente do material (resina ou cerâmica), do seu tempo de formado ou até mesmo da usa especialidade.


Isso pode parecer contraditório no mundo onde pessoas se preocupam cada vez mais com ficar fazendo somente o básico mesmo sendo especialista, mas acredite é possível!

DIFERENCIAS do curso DVOpro

DIFERENCIAS do curso DVOpro

DIFERENCIAS do curso DVOpro

Como é possível alcançar esses resultados?

Como é possível alcançar esses resultados?

Como é possível alcançar esses resultados?

Você vai precisar de 3 PILARES:

Você vai precisar de 3 PILARES:

Você vai precisar de 3 PILARES:

envelhecimento precoce envelhecimento precoce envelhecimento precoce

PILAR número 1

Compreender a oportunidade do grande volume de pacientes que estão procurando profissionais que saibam diagnosticar os problemas de origem mecânica como fraturas de dentes naturais, lesões não cariogênicas, bruxismo, envelhecimento precoce dos dentes, necrose pulpar asséptica, retrabalhos em resina ou cerâmica.

PILAR número 1

Compreender a oportunidade do grande volume de pacientes que estão procurando profissionais que saibam diagnosticar os problemas de origem mecânica como fraturas de dentes naturais, lesões não cariogênicas, bruxismo, envelhecimento precoce dos dentes, necrose pulpar asséptica, retrabalhos em resina ou cerâmica.

PILAR número 1

Compreender a oportunidade do grande volume de pacientes que estão procurando profissionais que saibam diagnosticar os problemas de origem mecânica como fraturas de dentes naturais, lesões não cariogênicas, bruxismo, envelhecimento precoce dos dentes, necrose pulpar asséptica, retrabalhos em resina ou cerâmica.

PILAR número 2

Conhecer sobre o E.D.P.O (Exame de Diagnóstico de Problemas Oclusais), da mesma forma que para identificar uma cárie classe II entre dois prés-molares você precisa de um exame de radiografia como o RX interproximal ou uma tomografia para identificar trincas. Para diagnosticar você precisa dominar o exame que mostra de forma objetiva e clara como que os problemas mecânicos acontecem.

PILAR número 2

Conhecer sobre o E.D.P.O (Exame de Diagnóstico de Problemas Oclusais), da mesma forma que para identificar uma cárie classe II entre dois prés-molares você precisa de um exame de radiografia como o RX interproximal ou uma tomografia para identificar trincas. Para diagnosticar você precisa dominar o exame que mostra de forma objetiva e clara como que os problemas mecânicos acontecem.

PILAR número 2

Conhecer sobre o E.D.P.O (Exame de Diagnóstico de Problemas Oclusais), da mesma forma que para identificar uma cárie classe II entre dois prés-molares você precisa de um exame de radiografia como o RX interproximal ou uma tomografia para identificar trincas. Para diagnosticar você precisa dominar o exame que mostra de forma objetiva e clara como que os problemas mecânicos acontecem.

PILAR número 3

Com o resultado do E.D.P.O você vai seguir O PLANO, um passo-a-passo, testado e aprovado por mais de 3.500 alunos do nosso curso online, um verdadeiro tutorial para você DEVOLVER a dimensão vertical de forma fisiológica e replicável, ou seja, você pode aplicar O PLANO para todos os outros casos complexos.

PILAR número 3

Com o resultado do E.D.P.O você vai seguir O PLANO, um passo-a-passo, testado e aprovado por mais de 3.500 alunos do nosso curso online, um verdadeiro tutorial para você DEVOLVER a dimensão vertical de forma fisiológica e replicável, ou seja, você pode aplicar O PLANO para todos os outros casos complexos.

PILAR número 3

Com o resultado do E.D.P.O você vai seguir O PLANO, um passo-a-passo, testado e aprovado por mais de 3.500 alunos do nosso curso online, um verdadeiro tutorial para você DEVOLVER a dimensão vertical de forma fisiológica e replicável, ou seja, você pode aplicar O PLANO para todos os outros casos complexos.

DVOpro é estratégia ideal para planejar qualquer caso de aumento de dimensão

DVOpro é estratégia ideal para planejar qualquer caso de aumento de dimensão

DVOpro é estratégia ideal para planejar qualquer caso de aumento de dimensão

Ou seja, o DVOpro é usada para que especialistas tenha segurança para definir o quanto cada caso pode aumentar,s em ficar na mão de terceiros ou de laboratórios.

Nossos alunos lucram até 10 X mais do que especialistas que não se sentem seguros para planejar casos de aumento de DVO.

Ou seja, o DVOpro é usada para que especialistas tenha segurança para definir o quanto cada caso pode aumentar,s em ficar na mão de terceiros ou de laboratórios.

Nossos alunos lucram até 10 X mais do que especialistas que não se sentem seguros para planejar casos de aumento de DVO.

Ou seja, o DVOpro é usada para que especialistas tenha segurança para definir o quanto cada caso pode aumentar,s em ficar na mão de terceiros ou de laboratórios.

Nossos alunos lucram até 10 X mais do que especialistas que não se sentem seguros para planejar casos de aumento de DVO.

DVOpro é o lugar certo para quem estuda, se dedica, faz cursos, investe na profissão, mas na hora "H" se sente inseguro.

DVOpro é o lugar certo para quem estuda, se dedica, faz cursos, investe na profissão, mas na hora "H" se sente inseguro.

DVOpro é o lugar certo para quem estuda, se dedica, faz cursos, investe na profissão, mas na hora "H" se sente inseguro.

Fazer parte desse grupo é obrigatório se você é:

Fazer parte desse grupo é obrigatório se você é:

Fazer parte desse grupo é obrigatório se você é:

ESPECIALISTA > Tenho certeza que você domina bem a arte da sua especialidade, mas oclusão é algo nebuloso na nossa formação e esse conhecimento vai te levar para outro nível.

ESPECIALISTA > Tenho certeza que você domina bem a arte da sua especialidade, mas oclusão é algo nebuloso na nossa formação e esse conhecimento vai te levar para outro nível.

ESPECIALISTA > Tenho certeza que você domina bem a arte da sua especialidade, mas oclusão é algo nebuloso na nossa formação e esse conhecimento vai te levar para outro nível.

CLÍNICO GERAL > Apesar da falta do título você já tem experiência prática, fez vários cursos e trabalha muito, mas os casos grandes você se sente inseguro.

CLÍNICO GERAL > Apesar da falta do título você já tem experiência prática, fez vários cursos e trabalha muito, mas os casos grandes você se sente inseguro.

CLÍNICO GERAL > Apesar da falta do título você já tem experiência prática, fez vários cursos e trabalha muito, mas os casos grandes você se sente inseguro.

TPD/ACADÊMICO > Dentro do curso falamos muito sobre o planejamento desses casos e dominar essa arte poderá ser extremamente lucrativo, oferecer esse serviço de forma segura.

TPD/ACADÊMICO > Dentro do curso falamos muito sobre o planejamento desses casos e dominar essa arte poderá ser extremamente lucrativo, oferecer esse serviço de forma segura.

TPD/ACADÊMICO > Dentro do curso falamos muito sobre o planejamento desses casos e dominar essa arte poderá ser extremamente lucrativo, oferecer esse serviço de forma segura.

Seja parte DVOpro e aprenda como definir a Aumento de DVO com segurança

Seja parte DVOpro e aprenda como definir a Aumento de DVO com segurança

Seja parte DVOpro e aprenda como definir a Aumento de DVO com segurança

Tudo isso por

Tudo isso por

Tudo isso por

12 x R$ 103,11

12 x R$ 103,11

12 x R$ 103,11

Já no primeiro módulo te ensino a cobrar R$ 500,00 por cada exame de diagnóstico de problemas oclusais. Com o invesimento de menos de R$ 6,00 por dia, investimento de um cafézinho

Já no primeiro módulo te ensino a cobrar R$ 500,00 por cada exame de diagnóstico de problemas oclusais. Com o invesimento de menos de R$ 6,00 por dia, investimento de um cafézinho

Já no primeiro módulo te ensino a cobrar R$ 500,00 por cada exame de diagnóstico de problemas oclusais. Com o invesimento de menos de R$ 6,00 por dia, investimento de um cafézinho

Imagine quantos pacientes você já atendeu esse mês passado que tinham esses problemas e você não se sentiu seguro para encarar!!!

Imagine quantos pacientes você já atendeu esse mês passado que tinham esses problemas e você não se sentiu seguro para encarar!!!

Imagine quantos pacientes você já atendeu esse mês passado que tinham esses problemas e você não se sentiu seguro para encarar!!!

Conheça seu mentor

Marcos Laboissiere

Conheça seu mentor

Marcos Laboissiere

Conheça seu mentor

Marcos Laboissiere

Bom, como alguns de vocês já sabem, tem mais de 20 anos que eu trabalho com REABILITAÇÃO ORAL COMPLEXA e acredito que eu possa colaborar bastante durante a trajetória de vocês.


Sou fundador do CLUBD, resp. técnico do Instituto Laboissiere de Odontologia, e estou neste mercado online ensinando há 7 anos. Já ajudei milhares de dentistas no Brasil e fora dele a quebrarem barreiras e alavancarem suas capacidades de encararem casos complexos..


Então, se você não apenas quer fazer parte do mundo do DVOpro, mas também ter sucesso na sua jornada, basta clicar no botão abaixo para conhecer mais sobre a minha metodologia.


Bom, como alguns de vocês já sabem, tem mais de 20 anos que eu trabalho com REABILITAÇÃO ORAL COMPLEXA e acredito que eu possa colaborar bastante durante a trajetória de vocês.


Sou fundador do CLUBD, resp. técnico do Instituto Laboissiere de Odontologia, e estou neste mercado online ensinando há 7 anos. Já ajudei milhares de dentistas no Brasil e fora dele a quebrarem barreiras e alavancarem suas capacidades de encararem casos complexos..


Então, se você não apenas quer fazer parte do mundo do DVOpro, mas também ter sucesso na sua jornada, basta clicar no botão abaixo para conhecer mais sobre a minha metodologia.


Bom, como alguns de vocês já sabem, tem mais de 20 anos que eu trabalho com REABILITAÇÃO ORAL COMPLEXA e acredito que eu possa colaborar bastante durante a trajetória de vocês.


Sou fundador do CLUBD, resp. técnico do Instituto Laboissiere de Odontologia, e estou neste mercado online ensinando há 7 anos. Já ajudei milhares de dentistas no Brasil e fora dele a quebrarem barreiras e alavancarem suas capacidades de encararem casos complexos..


Então, se você não apenas quer fazer parte do mundo do DVOpro, mas também ter sucesso na sua jornada, basta clicar no botão abaixo para conhecer mais sobre a minha metodologia.


Ainda está com dúvidas?

Ainda está com dúvidas?

Ainda está com dúvidas?

Aproveite esse espaço para listar as dúvidas mais frequentes do seu público. Faça uma espécie de FAQ e aproveite para deixar seu comprador sem dúvidas sobre a qualidade do seu produto!

Aproveite esse espaço para listar as dúvidas mais frequentes do seu público. Faça uma espécie de FAQ e aproveite para deixar seu comprador sem dúvidas sobre a qualidade do seu produto!

Aproveite esse espaço para listar as dúvidas mais frequentes do seu público. Faça uma espécie de FAQ e aproveite para deixar seu comprador sem dúvidas sobre a qualidade do seu produto!

Emite certificado?

Emite certificado?

Emite certificado?

Sim, ao final você terá acesso a certificado do curso.

Sim, ao final você terá acesso a certificado do curso.

Sim, ao final você terá acesso a certificado do curso.

Posso baixar as aulas?

Posso baixar as aulas?

Posso baixar as aulas?

Sim, o app do curso permite você fazer downloads e assisitr offline.

Sim, o app do curso permite você fazer downloads e assisitr offline.

Sim, o app do curso permite você fazer downloads e assisitr offline.

Posso assistir o conteúdo até que dia?

Posso assistir o conteúdo até que dia?

Posso assistir o conteúdo até que dia?

São 365 dias de acesso ininterrupto 12 meses para você ver, rever e tirar suas dúvidas no suporte.

São 365 dias de acesso ininterrupto 12 meses para você ver, rever e tirar suas dúvidas no suporte.

São 365 dias de acesso ininterrupto 12 meses para você ver, rever e tirar suas dúvidas no suporte.

Funciona para quem tem pouca experiência?

Funciona para quem tem pouca experiência?

Funciona para quem tem pouca experiência?

Sim, idealizamos o curso para quem é extremamente iniciante no assunto e para quem tem muita experiência também.

Sim, idealizamos o curso para quem é extremamente iniciante no assunto e para quem tem muita experiência também.

Sim, idealizamos o curso para quem é extremamente iniciante no assunto e para quem tem muita experiência também.

Posso parcelar a compra?

Posso parcelar a compra?

Posso parcelar a compra?

Sim, pode parcelar em até 12 X no cartão de crétido.

Sim, pode parcelar em até 12 X no cartão de crétido.

Sim, pode parcelar em até 12 X no cartão de crétido.

Posso pagar por boleto ou pix?

Posso pagar por boleto ou pix?

Posso pagar por boleto ou pix?

Sim, os valores a vista podem ser pagos no PIX ou boleto, ou até mesmo coisa cartões.

Sim, os valores a vista podem ser pagos no PIX ou boleto, ou até mesmo coisa cartões.

Sim, os valores a vista podem ser pagos no PIX ou boleto, ou até mesmo coisa cartões.

O curso tem suporte clínico?

O curso tem suporte clínico?

O curso tem suporte clínico?

Sim, você pode mostar seus casos, e aprender com as dúvidas dos outros.

Sim, você pode mostar seus casos, e aprender com as dúvidas dos outros.

Sim, você pode mostar seus casos, e aprender com as dúvidas dos outros.

Funciona para quem tem mais idade?

Funciona para quem tem mais idade?

Funciona para quem tem mais idade?

O curso é simples, prático e replicável, 70% dos meus alunos tem mais de 25 anos de formado e todos aproveitam muito o curso.

O curso é simples, prático e replicável, 70% dos meus alunos tem mais de 25 anos de formado e todos aproveitam muito o curso.

O curso é simples, prático e replicável, 70% dos meus alunos tem mais de 25 anos de formado e todos aproveitam muito o curso.

Funciona para quem tem mais idade?

Funciona para quem tem mais idade?

Funciona para quem tem mais idade?

O curso é simples, prático e replicável, 70% dos meus alunos tem mais de 25 anos de formado e todos aproveitam muito o curso.

O curso é simples, prático e replicável, 70% dos meus alunos tem mais de 25 anos de formado e todos aproveitam muito o curso.

O curso é simples, prático e replicável, 70% dos meus alunos tem mais de 25 anos de formado e todos aproveitam muito o curso.

Copyright 2022

Todos os direitos reservados.

Copyright 2022

Todos os direitos reservados.

Copyright 2022

Todos os direitos reservados.